Länder
Kontakt
Newsletter
Shop
Venus® Diamond Pure Shades
Venus Diamond Pure Shades
Was bedeutet mehr Einfachheit bei Ihren täglichen Restaurationen?

Überzeugender als alle Worte ist es, Venus Diamond PURE Shades selbst kennenzulernen.

Venus Pure - You choose it
YOU CHOOSE IT
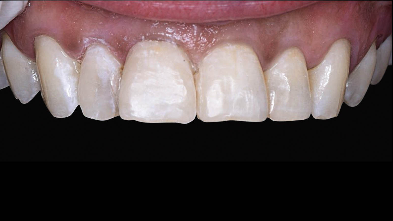
vorher
nachher

Restauration stark beschädigter Frontzähne mit Venus Diamond Pure (Medium). Fall von Dr. Tania Álvarez Rodriguez, Spanien.

Gut zu Wissen

You use it
YOU USE IT

Kennenlern-Paket bestellen

Venus PURE Shades in der Praxis

Ergänzende Produkte

  • Neu

    Venus® Bulk Flow ONE

    Venus® Bulk Flow ONE

    Venus Bulk Flow ONE ist das erste fließfähige, einfarbige Bulk-Fill Komposit, das keine zusätzliche Deckschicht benötigt.

  • Venus® Supra

    Venus® Supra

    Venus Supra Vor- und Hochglanzpolierer sind aus Silikon gefertigt und mit mikrofeinem Diamantpulver gefüllt. Die fünf verschiedenen Formen bieten eine universelle Lösung für alle Front- und Seitenzahnrestaurationen.

  • iBOND® Universal

    iBOND® Universal

    iBOND Universal ist das universelle, lichthärtende Adhäsiv für jede Bondingsituation und alle Indikationen. Da es mit allen Dentalmaterialien kompatibel ist, ist es unser Allrounder für zuverlässige Haftfestigkeit.

  • SOPIRA® Citocartin®

    SOPIRA® Citocartin®

    Das Lokalanästhetikum SOPIRA® Citocartin® vereinigt alle Vorteile des klassischen Wirkstoffs Articain für alle dentalen Anästhesiemethoden.

  • Neu

    Starlight pro

    Starlight pro

    Starlight pro ist ein LED-Lichthärtegerät für die Polymerisation von lichthärtenden Dentalmaterialien wie Adhäsiven und Füllungsmaterialien. Mit dem Starlight pro stellen Sie gleichbleibend hochwertige und sichere Restaurationen her.

You love it
YOU LOVE IT

Werden Sie ein Teil der Venus Community

Venus community

Teilen Sie Ihre Best Practice-Fälle mit uns

... und lassen Sie sich von der Begeisterung anstecken!

Verbinden Sie sich mit Kolleg:innen

Downloads

Gebrauchsanweisungen

Kontakt Deutschland

  • Customer Service Center 0800 / 4372522 (gebührenfrei)

  • Technische Hotline 06181 413 9999

  • Customer Service Center FAX 0800 / 4372329

  • eMail senden

  • Kontaktformular

Kontakt Österreich

  • CUSTOMER SERVICE (+43 1) 408 09 41

  • FAX (+43 1) 408 09 41-70

  • eMail senden

Aussendienst-Suche