| Immer den richtigen Farbton treffen |
Venus Diamond / Venus Pearl ONE bietet eine außergewöhnliche Farbanpassung in einer einzigen Farbe. Die Restauration wird unsichtbar, indem sie mit der umgebenden Zahnsubstanz verschmilzt.
Das Einfarb-Komposit Venus Diamond ONE – seit einem Jahr in Deutschlands Praxen!
Weitere Vorteile, die Studien aus über 10 Jahren klinischer Venus Diamond-Erfahrung bestätigen, lesen Sie hier .
Glanzvolle Teamleistung: Venus Diamond ONE und Venus Supra Poliere
Gut. Besser. Supra. Eine langanhaltende, natürliche Ästhetik ist die Stärke von Venus Supra. In nur zwei Arbeitsschritten verleiht unser Poliersystem fertigen Komposit-Restaurationen ein brillantes Finish und strahlenden Hochglanz. Die universelle Polierlösung eignet sich für alle üblichen Komposite und parallel dazu maßgeschneidert auf unsere Venus-Komposite wie Venus Diamond ONE abgestimmt. Für eine effizienten Workflow und brillierende Polierergebnisse.
Neuen Glanz bringen die beiden modernen Twist Formen, die Sie ab sofort bei uns erhalten. Und auch die separate Verpackung der Refills (getrennt in Vor- und Hochglanzpolierer) birgt Vorteile für Ihren Praxisalltag.
Erfahren Sie hier mehr über unser Poliersystem Venus Supra.
Eine Farbe. Eine erfahrene Formel.
Mit Venus Diamond erhalten Sie langlebige, und zuverlässige Restaurationen mit einem dauerhaften, natürlichen Glanz –und das mit über 10 Jahren klinischer Erfahrung. Die neue Farbe Venus Diamond ONE ist das neue Einfarben-Konzept für die täglichen Restaurationen im Seitenzahnbereich.
Eine Farbe. So viele Möglichkeiten.
Wählen Sie immer den richtigen Farbton aus - denn es gibt nur einen.
Venus Diamond ONE fügt sich unabhängig von der Zahnfarbe nahtlos in das umgebende Gebiss ein, so dass Restaurationen nahezu verschwinden können.
Venus Diamond ONE passt sich bei Basisrestaurationen, z. B. im Seitenzahnbereich, an alle Zahnfarben von A1 bis D4 an.
Eine Farbe. Eine effiziente Lösung.
Erfahrungen von Behandlern zur effizienten und modernen Füllungstherapie.
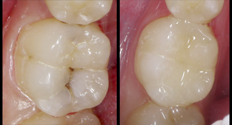
Fallbericht Dr. med. dent. Nora Joos
Fazit Dr. med. dent. Nora Joos: Venus Diamond ONE ist ein Füllungsmaterial, das sich vom Behandler sehr gut und präzise verarbeiten lässt. Gleichzeitig ist es durch das Einfarbkonzept ein kosteneffizientes Material. Somit kann die Behandlungszeit für den Patienten reduziert werden und gleichzeitig findet sich das Ergebnis im ästhetischen Bereich wieder.
Dr. med. dent. Nora Joos, Berlin-Halensee
Eine Farbe. Eine langlebige Lösung.
Die physikalischen Eigenschaften von Venus Diamond ONE basieren auf einer einzigartigen TCD-Urethan-Formel und einem optimierten Füllersystem. Diese bewährte Formel verleiht den Venus Kompositen ihre speziellen Eigenschaften.
NEU: Wissenschaftliches Kompendium zu Venus Diamond ONE
Adaptive Lichtanpassung
Der ONE Farbton nimmt durch die Absorption der Lichtwellen die Farbe der umgebenden Zähne an und besitzt eine hervorragende Farbanpassung an alle Zahnfarben.
Weitere Informationen